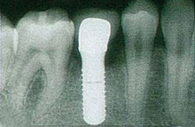
インプラント埋入手術を安全にかつ長い期間安定させるためには、骨の形が重要な要素となります。
具体的には三次元的に診断を行い、骨の「高さ」と「幅」がインプラントに適した形である事が必要とされます。
以前は骨の形がインプラントに適した形態でない場合はインプラント治療に適さないと診断していました。
しかし近年は積極的に骨の造成手術を行い、適さない形を適した形に手術で整えてからインプラント治療を行うといった治療計画が一般的となりました。
骨が大きく欠損しており、高さおよび幅の形が適切ではないとインプラントを埋入する角度を傾けざるを得ず良好な形態のインプラントの冠を装着できない可能性があります。
また高さが足りない場合には、短いインプラントしか埋入できず、長期的に見て、機能負荷が掛かりすぎ、長い期間の安定が得られない可能性が考えられます。
骨を増やす手術では移植するための骨が必要となる事もありますが、当院では身体的負担を考慮して、骨補填材(ネオボーン=人工骨)を使用しております。
骨造成術の一つGBRでは、骨幅が不足している部分に骨補填材を入れ、その上に人工膜をかぶせます。
人工膜をかぶせることで、歯肉などの柔らかい組織が混入しなくなるので、骨の再生が促進されます。
その後4~6か月ほど経過を見守り骨の幅を確認してから、インプラントの埋入手術に移ります。



























